

手術方法・回数
手術の経験値
インプラントの知識
設備・手術環境
腫れ・痛みのコントロール
インプラントの種類
など、さまざまな要因によって
治療の安全性や成功率は
大きく異なります
クリニック選びで
迷っている方へ
何を基準に選べばいいか
迷って
いませんか?
何を基準に選べばいいか
迷って
いませんか?
“マモインプラントクリニックにお願いして”
間違いなかった
“インプラント治療をして良かった”
“マモインプラントクリニックに”
お願いして間違いなかった
“インプラント治療をして”
良かった
患者様に
そのように
言っていただける
治療を
ご提供
いたします
マモインプラントクリニック
マリオス
院長・歯学博士 高橋 衛
当院を信頼し、治療を受けてくださった多くの患者様が
笑顔を取り戻しています
CASES
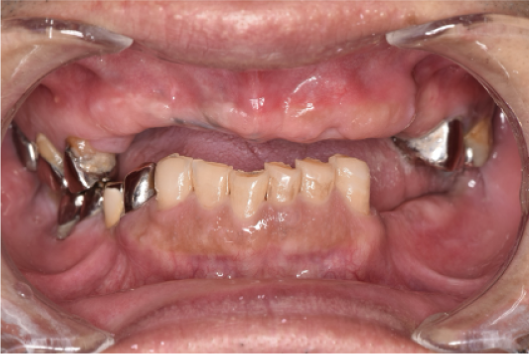
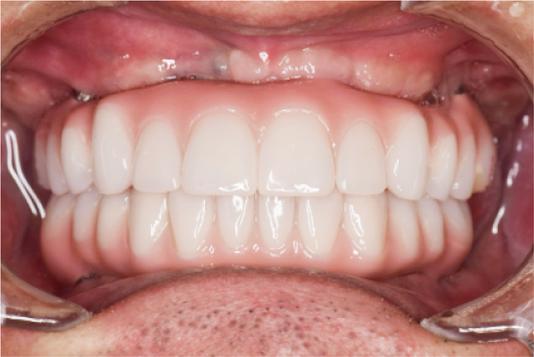
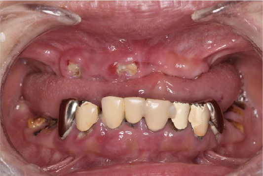
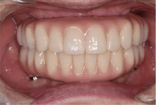
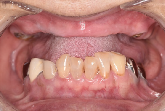
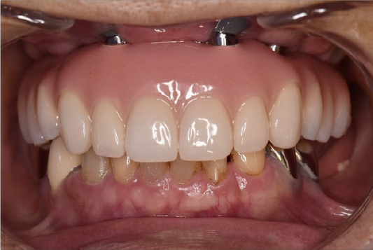
CASE01


■ 治療内容
上下顎All-on-4インプラント治療
■ 治療費用
7,438,000円(税込)
■ 治療期間
約10ヶ月
■ リスク
治療後の腫れや出血、またメンテナンスを怠ることで周囲炎のリスクあります。
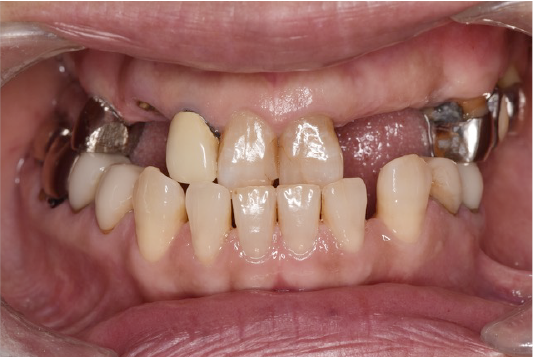
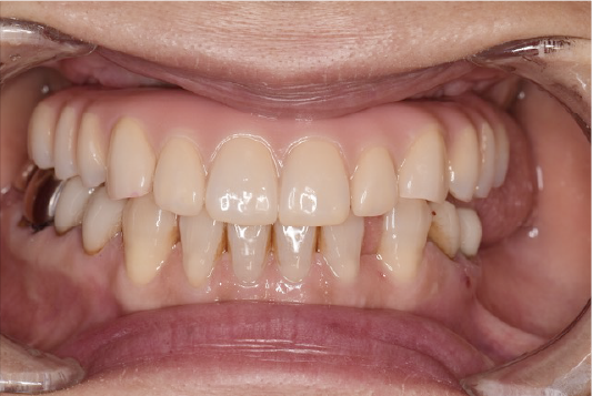
CASE02


■ 治療内容
上顎オールオン4インプラント治療(4本頬骨インプラント)
■ 治療費用
(モニター)3,330,000円(税込)
■ 治療期間
約10ヶ月
■ リスク
治療後の腫れや出血、またメンテナンスを怠ることで周囲炎のリスクあります。
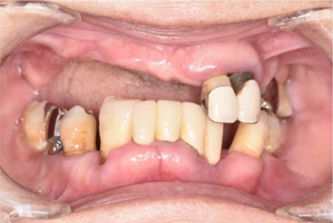
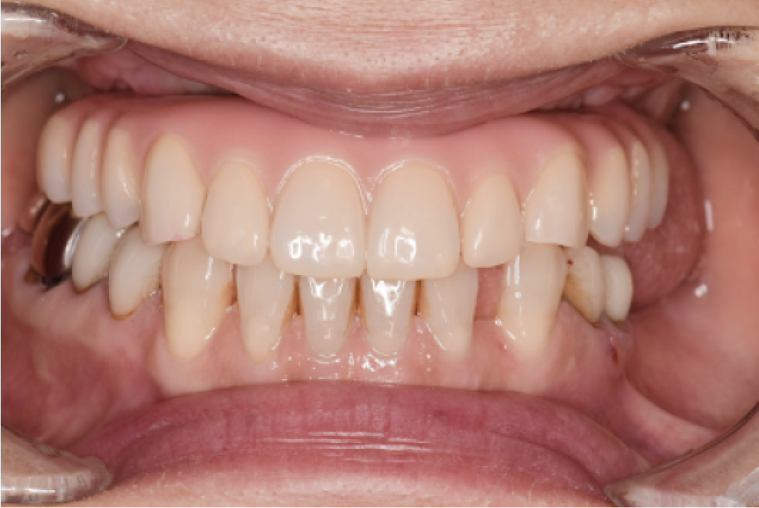
CASE03


■ 治療内容
上顎All-on-4インプラント治療
■ 治療費用
3,330,000円(税込)
■ 治療期間
約10ヶ月
■ リスク
治療後の腫れや出血、またメンテナンスを怠ることで周囲炎のリスクあります。
CASE04


■ 治療内容
上下顎All-on-4インプラント治療
■ 治療費用
6,627,000円(税込)
■ 治療期間
約9ヶ月
■ リスク
治療後の腫れや出血、またメンテナンスを怠ることで周囲炎のリスクあります。
CASE05


■ 治療内容
上下顎All-on-4インプラント治療
■ 治療費用
(モニター)6,610,000円(税込)
■ 治療期間
約9ヶ月
■ リスク
治療後の腫れや出血、またメンテナンスを怠ることで周囲炎のリスクあります。
CASE06


■ 治療内容
上顎All-on-4インプラント治療
■ 治療費用
(モニター)6,610,000円(税込)
■ 治療期間
約8ヶ月
■ リスク
治療後の腫れや出血、またメンテナンスを怠ることで周囲炎のリスクあります。
CASE07


■ 治療内容
上下顎オールオン4治療
■ 治療費用
(モニター)6,577,000円(税込)
■ 治療期間
約1年半
■ リスク
治療後の腫れや出血、またメンテナンスを怠ることで周囲炎のリスクあります。
CASE08


■ 治療内容
上顎オールオン4治療
■ 治療費用
(モニター)3,347,000円(税込)
■ 治療期間
約8ヶ月
■ リスク
治療後の腫れや出血、またメンテナンスを怠ることで周囲炎のリスクあります。
CASE09


■ 治療内容
上顎オールオン4治療(4本頬骨インプラント)
■ 治療費用
(モニター)3,330,000円(税込)
■ 治療期間
約8ヶ月
■ リスク
治療後の腫れや出血、またメンテナンスを怠ることで周囲炎のリスクあります。
CASE10


■ 治療内容
上下顎オールオン4治療
■ 治療費用
(モニター)7,438,000円(税込)
■ 治療期間
約10ヶ月
■ リスク
治療後の腫れや出血、またメンテナンスを怠ることで周囲炎のリスクあります。


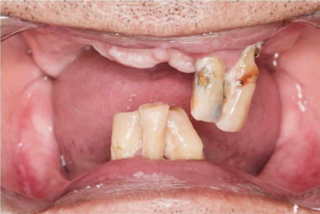
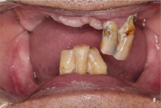
骨が少ない
歯肉が
痩せている
重度の
歯周病
インプラントは、顎の骨や残っている歯の状態、噛み合わせなどにより、適切な治療方法が異なります。岩手県盛岡市のマモインプラントクリニックマリオスは、インプラント治療に特化した専門クリニックとして、精密な診断に基づき、1本のインプラント治療から、オールオン4やザイゴマインプラントなどの高度な全顎治療まで幅広くご提案可能です。骨が極端に痩せているケースや、他院で断られた難症例にも対応しています。

骨が少ない
歯肉が
痩せている
重度の歯周病
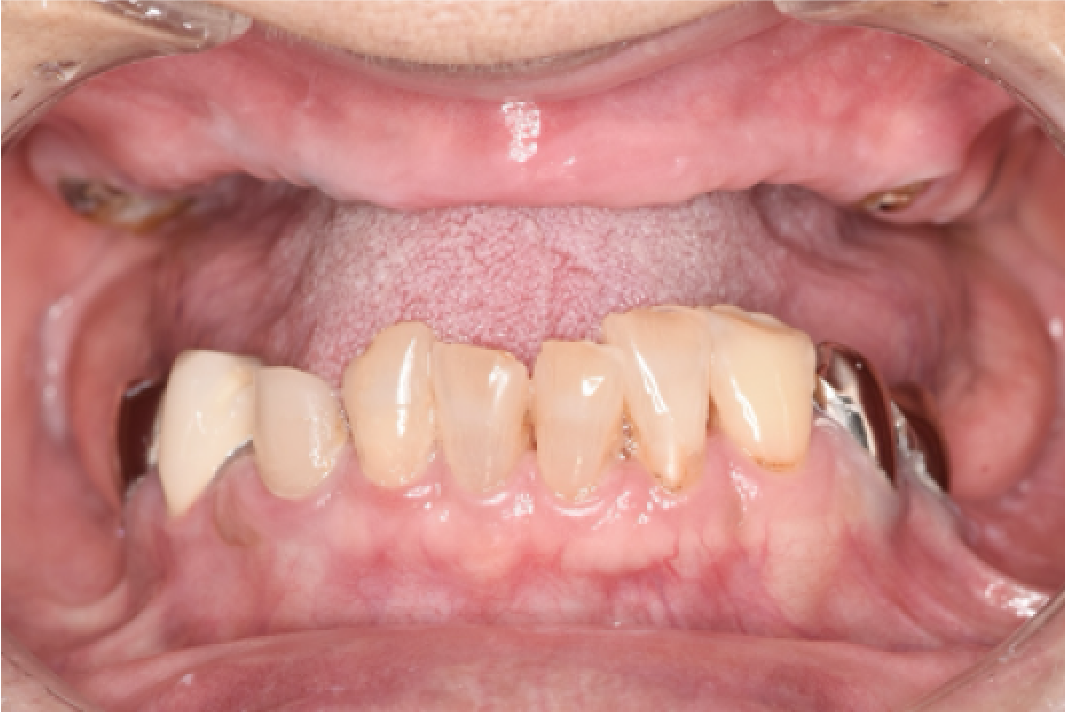
手術当日にキレイな歯を
抜歯即時埋入インプラント

抜歯即時埋入インプラントは、抜歯直後にインプラントを埋め込む治療方法です。治療期間の短縮が可能なほか、手術当日の仮歯装着による歯がないまま過ごす期間を心配する必要がありません。
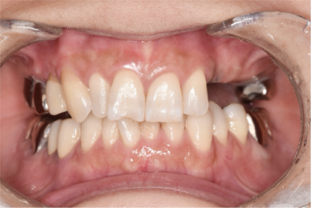
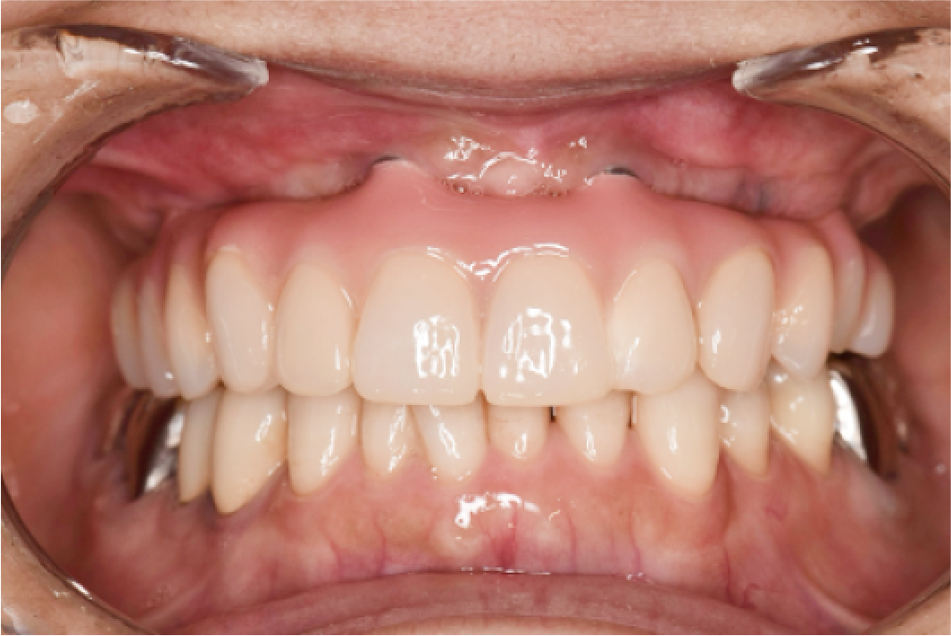
失った歯を一気に取り戻す
オールオン4インプラント

4本〜6本のインプラントで全ての歯を取り戻す治療です。 見た目・噛み心地・高い耐久性を実現します。歯がボロボロ、総入れ歯の方も、1回の手術でしっかり噛める歯を取り戻すことが可能です。
骨を失っても、噛める歯を再び
ザイゴマインプラント

ザイゴマインプラントは頬骨にインプラントを埋込することで、骨移植を必要としない治療です。通常のインプラントやオールオン4が難しい方も、治療を諦める必要はありません。

インプラント治療は、診断・治療計画・手術という全ての工程で、安全性と正確性が求められます。当院では、インプラントに特化した専用の設備環境を整備しています。 新しい先進的な医療設備や、安全基準の高い充実した環境を導入することで、患者様にとって安心・安全な治療をご提供できるよう努めています。

人的ミスをゼロに近づける
「X-Guide」で全工程をデジタル化
骨の中の血管や神経の位置、方向や深さまで、リアルタイムでコンピュータ画面に表示しながら埋入位置を誘導し、従来の手術に比べて誤差が極めて少ない手術精度を実現します。従来の埋入手術で必要だったマウスピース型のガイドを作成する手間がなくなり、治療期間の短縮にもつながります。
医科の外科手術が可能な無菌レベル
インプラントオペ専用の「手術室」
インプラント治療は、手術環境の安全性が治療結果に大きく影響します。当院では、インプラントオペ専用の手術室を設け、万全の環境で手術を行っています。医科の外科手術が行える無菌レベルで、設備面からも患者様の安心と安全を支えています。


インプラント治療は、専門的な知識と技術を必要とします。岩手県盛岡市のマモインプラントクリニックマリオスでは、カウンセリングから精密検査、診断、手術、術中の管理、その他治療、術後のケアまで、高い専門性を持つスタッフ同士で連携して行っています。小さな見逃しや判断ミスを最小限に減らし、より安全性の高い治療を実現します。


手術中の痛みや腫れを管理
歯科麻酔医による
「静脈内鎮静法」
鎮静剤を点滴から注入し、浅い眠りの状態を作ることにより不安や恐怖心を取り除きます。専門的な知識を持つ「歯科麻酔認定医医」が、手術中の患者様の状態を管理します。手術が終わったことに気がつかない方もいるほど、痛みを感じることなく、リラックスして治療を受けていただけます。
医師には聞きにくいことも
相談できる
インプラント専門
カウンセラー
インプラントは、治療前の不安や疑問が多いことが当たり前です。インプラント専門カウンセラーは、医師の専門的な説明を分かりやすい言葉に翻訳したり、患者様の立場に立ち、不安や疑問を傾聴し、納得できるまで丁寧に説明いたします。

当院は、東北の地で長年にわたり、1本のインプラント治療から、オールオン4、在ゴマインプラントまで、多くの患者様と向き合ってきました。磨かれた治療技術だけでなく、骨や全身状態を踏まえた治療の判断、将来のトラブルまで見据えた治療計画の立案など、リスクやデメリットまで考慮した確かな診断で最適な治療をご提案します。

当院には、他の歯科医院様からのご紹介によるインプラント相談も多く寄せられています。「通常のインプラントが難しいケース」「全顎的な治療が必要な場合」など、同業の歯科医師から 「難しい症例を任せられる医院」としてご紹介いただいていることは、診断力や治療技術のひとつの証明だと考えています。

インプラントは「埋めれば同じ」ではありません。近年では、安いインプラントも出回っていますが、安いことには必ず理由があります。インプラントメーカーの違いは、治療精度、噛み心地、長期的な安定性にも影響します。当院では、世界的に信頼性が高く、安全性や治療後の安定が確立された、常に先端を走る世界のインプラントのパイオニアと言われている「ノーベルバイオケア製」インプラントを使用しています。

院長/歯学博士 高橋 衛
最近の学会発表
All-on-Implant
月額 29,335円/片顎(税込)
総額 2,938,700円 最終月 29,357円
1個目の仮歯制作費、術後調整料、ナイトガード、麻酔代、薬代、術前クリーニング、術後レントゲン撮影代、清掃指導料含む
※必要に応じて抜歯費用、被せ物の制作費用がかかります
月額 21,961円〜
総額 2,200,000円 最終月 21,967円
最長10年間(最長120回)のお支払いが可能です。
※医療ローンはインプラント1本からご利用可能です。
(JACCSの場合、1回のお支払い金額¥3,000以上で利用可能)
各種クレジットカードを
ご利用いただけます
Treatment
皆様の「不安」や「疑問」に
お答えする
歯がない状態を
放置している方へ
“将来後悔しない”ために
“今できる”ことを
「痛くないから大丈夫」と思っていませんか?
歯がない状態を放っておくと、将来後悔することになるかもしれません。
「1本ぐらい大丈夫」と思わず、早期に適切な治療を受けることが大切です。
セカンドオピニオン
SECOND OPINION
他医院でインプラント治療を
受けた方の
セカンドオピニオンも
承っております
治療方針に
納得が
いかない
インプラントが
できないと
言われた
今受けている
インプラント治療に
違和感がある
インプラント
以外
の治療の
選択肢を
知りたい
抜歯が必要だと
言われた
納得してインプラント治療を受けていただくために、
皆様の「不安」や「疑問」をお聞かせください